Enfermedades de los huesos para perros

Por qué a mi perro le duele la cadera

Alba Navas
Por Alba Navas, Redactora y ATV. 14 diciembre 2018
Por qué a mi perro le duele la cadera

Una de las afecciones que más puede llegar a afectar a tu perro son las lesiones de cadera. Existen ciertas causas por las que tu perro podría estar quejándose de un dolor en dicha zona y además aparecen síntomas asociados al problema de cadera que tenga tu perro, lo que debe preocuparte mucho ya que incluso podría requerir cirugía junto a un largo tiempo de recuperación si la lesión es grave.

Si crees que tu perro podría estar sufriendo esta dolencia, te animamos a que sigas leyendo porque en el siguiente artículo de unCOMO te damos respuesta a tu duda sobre "¿por qué a mi perro le duele la cadera?".

También te puede interesar: Por qué mi perro no puede caminar
Índice
  1. Síntomas de dolor de cadera en perros
  2. Causas de dolor de cadera en perros
  3. Tratamiento para el dolor de cadera en perros según la causa

Síntomas de dolor de cadera en perros

Los síntomas del dolor de cadera en un perro pueden variar, pero los más comunes que se presentan en la mayoría de los casos suelen ser los siguientes:

  • Cojera, especialmente en las patas traseras.
  • Dificultad para levantarse.
  • Rechazo a jugar, correr, saltar o subir escaleras.
  • Balanceo al andar.
  • Dolor de aparición repentina.
  • Atrofia muscular y pérdida de masa muscular en las patas traseras.
  • Dificultad para mover las patas posteriores.
  • Dolor de pelvis.

Dependiendo de cual sea la causa que le produce a tu perro este dolor y molestias en la cadera presentará unos síntomas u otros.

Por qué a mi perro le duele la cadera - Síntomas de dolor de cadera en perros

Causas de dolor de cadera en perros

A continuación, os explicamos detalladamente las lesiones de cadera más frecuentes que puede experimentar un perro. Así, estas son las principales posibles causas de por qué a tu perro le duele la cadera:

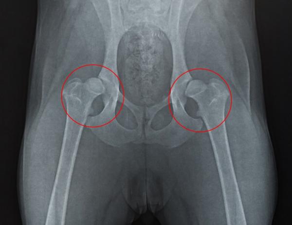
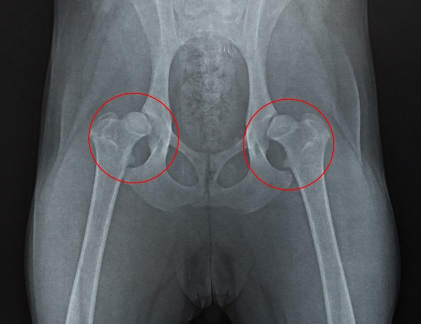
  • Displasia de cadera: esta es una malformación congénita que se produce cuando la articulación que une el fémur no encaja con el hueso de la pelvis. Sucede durante el crecimiento del animal, donde la cadera se va desplazando hacia los laterales impidiendo que el perro se mueva de manera adecuada y se vuelve más grave con el tiempo. A pesar de ser bastantes los perros que sufren este problema, en la mayoría de casos no llega a desarrollarse hasta el final, pero si lo hace notaras que tu mascota cojea y sufre dolor al realizar actividades tales como correr, sentarse o subir la escalera.
  • Fracturas de cadera: para romper una cadera se necesita haber dado un golpe muy fuerte, como puede suceder en una caída desde alto o en un atropello donde la cadera puede llegar a romperse, además en este caso normalmente suele venir acompañada de otros síntomas producidos por el accidente. Esto lo notaréis enseguida ya que el perro apenas podrá moverse y notarás que se queja mucho debido al dolor.
  • Dislocación de la cadera: también conocida como luxación, es la causa más común de todas ya que puede suceder durante cualquier momento de la vida del animal tan solo por un mal movimiento o un movimiento excesivamente brusco.
  • Desgarro del músculo: la cadera contiene músculo además de hueso, y este músculo también se puede desgarrar. Dicho problema es muy común entre perros, lo que les produce cojera y puedes observar que la cadera de tu mascota está hinchada debido a la inflamación del músculo desgarrado.
Por qué a mi perro le duele la cadera - Causas de dolor de cadera en perros

Tratamiento para el dolor de cadera en perros según la causa

Dependiendo de la causa que esté produciendo dolor de cadera a tu perro se puede tratar de forma médica, con o sin cirugía. Se recomienda acudir al veterinario si observas algún síntoma descrito anteriormente para que realice una radiografía y detecte cuanto antes el problema, sobre todo si se trata de displasia de cadera, ya que cuando antes se detecte, más fácil y rápido será su tratamiento y mejora. Así, estos son los tratamientos para el dolor de cadera en perro según su causa, aunque no son los únicos y siempre será el veterinario quien indique cuál es la mejor opción para cada paciente:

  • Displasia de cadera: en este caso no existe cura definitiva, pero existen tratamientos apropiados para aliviar el dolor y dar una mejor calidad de vida a tu peludo. Si la displasia no está muy avanzada o por alguna razón no se puede operar al perro se aconseja restringir cualquier ejercicio, evitar el sobrepeso o en caso de que ya lo padezca, el veterinario te dará una dieta estricta a seguir para que baje de peso. Normalmente, también se combina con hidroterapia o masajes para aliviar el dolor de las articulaciones. Los perros con este problema suele necesitar la administración de antiinflamatorios, analgésicos y medicamentos para proteger los cartílagos o condroprotectores. Hay que tener en cuenta que el tratamiento sin cirugía tiene que llevarse a cabo durante toda la vida y no elimina la displasia, sino que impide que se empeore y alivia el dolor, aunque la mayoría de veces es suficiente para que tu perro tenga la calidad de vida que se merece. Si el tratamiento médico sin cirugía no da resultados o la displasia está muy avanzada, se va a requerir una cirugía donde después de esta no habrá que mantener un tratamiento durante toda la vida. Existen diferentes técnicas quirúrgicas para solucionar este problema, pero será el veterinario el que elija cuál será mejor para tu perro después de un diagnostico apropiado. En este otro artículo de unCOMO te explicamos Cómo cuidar a un perro con displasia de cadera.
  • Fractura de cadera: si esta es la causa del dolor de cadera en el perro, la atención veterinaria será fundamental para determinar si se requiere una cirugía o no, dependiendo del tipo de fractura que tenga el perro. Lo más habitual es que tu can mantenga reposo durante un largo tiempo.
  • Dislocación de cadera: igual que en el caso anterior, una dislocación de cadera puede requerir una operación o no dependiendo del tipo de luxación. En la mayoría de casos el veterinario, tras hacer radiografías e incluso ecografías, puede recolocar la parte de la zona de la cadera que se ha dislocado e inmoviliza la zona para que la articulación termine sanando sola.
  • Desgarro muscular: por lo general, un desgarro en el músculo no necesita una cirugía y se cura mucho más rápido que en los casos anteriores. Además de llevarlo al veterinario, tú mismo puedes ir alternando la aplicación de compresas calientes y frías sobre la cadera de tu can para que poco a poco disminuya la inflamación y el músculo desgarrado sane solo.

Si notas que a tu perro le duele la cadera, es recomendable acudir al veterinario en cualquiera de los casos para que realice una exploración física y una radiografía, entre otras pruebas si las requiere, para averiguar la causa definitiva que le está produciendo mal a tu perro y dar con un diagnóstico certero para, de este modo, aplicar el mejor tratamiento y que se recupere lo antes posible.

Si deseas leer más artículos parecidos a Por qué a mi perro le duele la cadera, te recomendamos que entres en nuestra categoría de Mascotas.

Artículos relacionados
Escribir comentario
¿Qué te ha parecido el artículo?
3 comentarios
Su valoración:
Mari
Xk mi perro le duele la cadera y le huele la popo a mortaanda
Su valoración:
Lui
Mi perro tenía dolor de cadera pero ha mejorado bastante con cissus de mascosana.
Jesus
hola mi perro se levanto rengo lo examine y le duelen las caderas, q remedio puedo darle?
1 de 3
Por qué a mi perro le duele la cadera