Otros El Cáncer

¿El sarcoma de Ewing tiene cura?

 
Brian Calvo
Por Brian Calvo, Periodista. 9 mayo 2023
¿El sarcoma de Ewing tiene cura?

La ciencia avanza a pasos agigantados para tratar de encontrar cura a las enfermedades principales que acaban con la vida humana en las últimas décadas. El cáncer en sus distintas variantes es una de ellas. Existen muchos tipos de cáncer cuyos riesgos de afectación son elevados en algunos casos y sectores de la población. En este sentido, el sarcoma de Ewing es uno de los que se deben considerar y tiene un alto porcentaje de cura en los niños más pequeños.

También conocido como tumor de Askin, el sarcoma de Ewing es un tumor neuroectodérmico primitivo periférico. Pese a ser más común tanto en niños como en adolescentes, lo cierto es que puede afectar a cualquier rango de edad. Para descubrir si el sarcoma de Ewing tiene cura, de qué se trata, sus causas, síntomas y los tratamientos existentes en la actualidad sobre esta enfermedad, en unCOMO te recomendamos que sigas leyendo este artículo.

Índice
  1. Qué es el sarcoma de Ewing y sus causas
  2. Síntomas del sarcoma de Ewing
  3. ¿El sarcoma de Ewing tiene cura o no?
  4. Tratamiento para el sarcoma de Ewing

Qué es el sarcoma de Ewing y sus causas

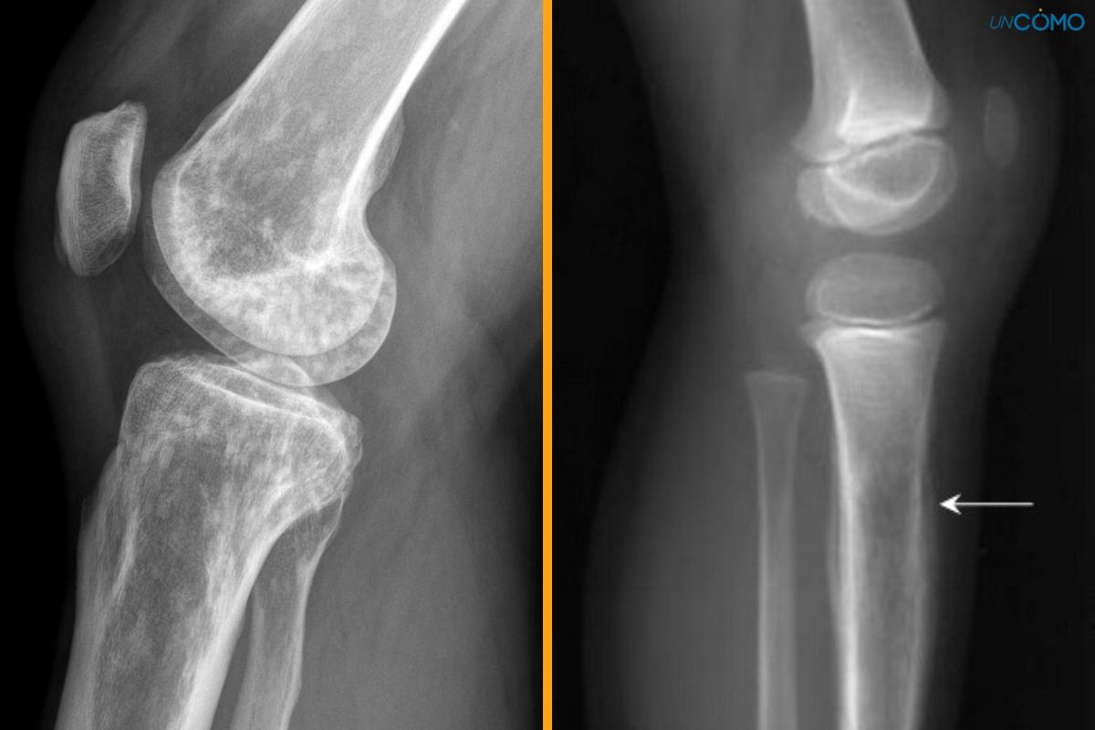
El sarcoma de Ewing es un tumor canceroso que se desarrolla en los huesos o en la parte del tejido que rodea los huesos, es decir, el tejido blando. Frecuentemente, crece en las piernas, las costillas, la pelvis, la columna vertebral o los brazos. También puede llegar a expandirse a los pulmones, la médula ósea y los huesos.

Pese a que este tipo de cáncer puede surgir en cualquier rango de edad, su afectación es más común en niños y adolescentes. De hecho, es segundo tipo de cáncer de hueso que más afecta a los niños. La mitad de los tumores asociados al sarcoma de Ewing aparecen en niños y jóvenes en edades de entre 10 y 20 años, aproximadamente.

Causas del sarcoma de Ewing

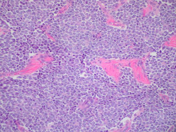
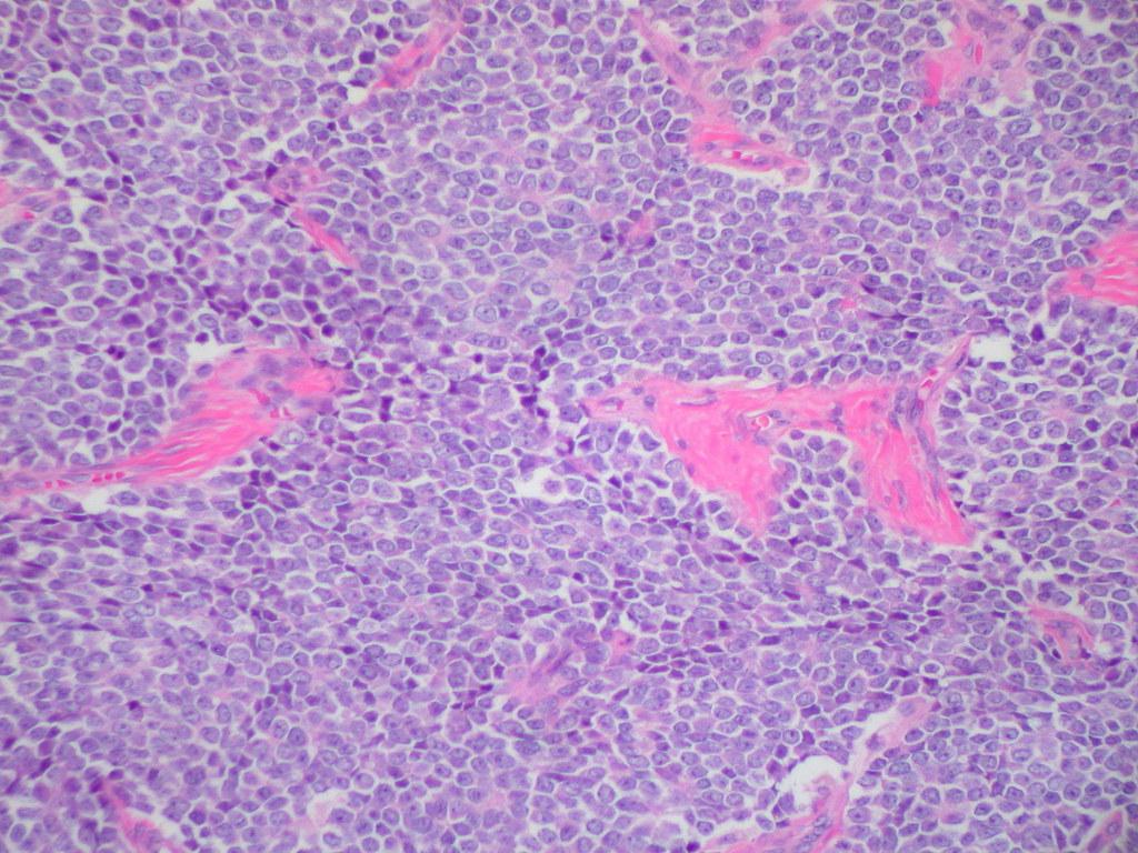
No hay una causa específica por la que se desarrolle el sarcoma de Ewing. Este tipo de cáncer aparece cuando una célula experimenta cambios en su ADN. Estas modificaciones le comunican a la célula que se multiplique rápidamente y que se mantenga viva cuando las células sanas morirían normalmente.

Como resultado, se produce una masa de células anormales (es decir, un tumor) con capacidad para invadir y destruir el tejido corporal sano. Estas células anormales pueden desprenderse e incluso propagarse (haciendo metástasis) por todo el cuerpo. En lo que respecta al sarcoma de Ewing, los cambios del ADN afectan con mayor frecuencia a un gen llamado EWSR1.

Síntomas del sarcoma de Ewing

  • Dolor de huesos.
  • Hinchazón, dolor y sensibilidad cerca de la zona afectada.
  • Fiebre sin causa conocida.
  • Cansancio sin una causa aparente.
  • Perder peso sin tratar de conseguirlo.
  • Cojera causada por algún tumor aparecido en el hueso de una pierna.
¿El sarcoma de Ewing tiene cura? - Síntomas del sarcoma de Ewing

¿El sarcoma de Ewing tiene cura o no?

El sarcoma de Ewing tiene un alto porcentaje de cura, sobre todo en los más pequeños. Alrededor del 70% de los niños que sufren esta enfermedad consiguen curarse siguiendo el tratamiento adecuado. Este porcentaje de supervivencia baja al 56% entre los adolescentes de 15 a 19 años.

En los casos de niños cuyo diagnóstico se produce después de que la enfermedad se expanda, la tasa de supervivencia es todavía menor, alcanzando el 30%. Y los niños con los tumores más grandes o que se localizan en la zona de la pelvis, la columna o las costillas son los que tienen una menor probabilidad de curarse.

Tratamiento para el sarcoma de Ewing

Quimioterapia

Generalmente, es el primer paso para tratar este tipo de cáncer. Durante la quimioterapia, se emplean poderosos medicamentos para matar las células cancerígenas o para impedir que crezcan dividiéndose y elaboren más células cancerosas.

La quimioterapia se puede inyectar en el torrente sanguíneo para que se vaya desplazando por el cuerpo. La terapia de combinación utiliza al mismo tiempo más de un tipo de quimio. Te puede interesar este artículo sobre Cómo subir las defensas después de la quimioterapia.

Cirugía

Se puede realizar tras varias semanas o meses desde que la quimioterapia consigue reducir el cáncer hasta el punto en el que la cirugía es más efectiva. Los cirujanos tratan de extraer tanta parte del tumor como les sea posible. En ocasiones, los cirujanos hacen injertos (agregados) de huesos o tejidos del paciente o de algún donante para sustituir el hueso enfermo, así como el tejido extraído. También se puede utilizar un hueso artificial, es decir, un implante.

Para ciertos pacientes, la amputación es la forma requerida para asegurarse que se extrae el tumor completamente. Se trata de una extracción quirúrgica de la zona afectada, como puede ser un brazo o una pierna.

Radioterapia

Se emplea para disminuir o matar las células cancerosas que no se pueden extraer quirúrgicamente. Este proceso se continúa con más sesiones de quimioterapia para matar cualquier célula que haya podido quedar.

La radioterapia utiliza rayos X de niveles altos de energía u otros tipos de radiación para eliminar las células cancerosas o para detener su crecimiento. Existen dos tipos de radiación:

  • Radiación externa: utiliza máquinas fuera del cuerpo humano para proporcionar las dosis de rayos X.
  • Radiación interna: utiliza agujas, semillas, catéteres (tubos) o cables para administrar directamente la radiación en o cerca del cáncer.

Ahora que ya sabes si el sarcoma de Ewing tiene cura, también te pueden interesar estos artículos sobre Cómo saber si tengo cáncer y el Día Mundial contra el Cáncer: cuándo es y por qué se celebra.

¿El sarcoma de Ewing tiene cura? - Tratamiento para el sarcoma de Ewing

Este artículo es meramente informativo, en unCOMO no tenemos facultad para recetar ningún tratamiento médico ni realizar ningún tipo de diagnóstico. Te invitamos a acudir a un médico en el caso de presentar cualquier tipo de condición o malestar.

Si deseas leer más artículos parecidos a ¿El sarcoma de Ewing tiene cura?, te recomendamos que entres en nuestra categoría de Enfermedades y efectos secundarios.

Artículos relacionados
Escribir comentario
¿Qué te ha parecido el artículo?
1 de 3
¿El sarcoma de Ewing tiene cura?