Las verrugas faciales

Verrugas de la espalda - tratamiento y consejos

Verrugas de la espalda - tratamiento y consejos

Las verrugas son causadas por el virus del papiloma humano y como muchos virus son contagiosas. Existen tratamientos para eliminarlas dependiendo del tipo de verruga y la zona en que se encuentre. En este artículo desde unComo.com os vamos a explicar todo lo que necesitas saber para quitar de forma definitiva las verrugas de la espalda.

Antes de nada, desde unComo le recomendamos que no siga ningún tratamiento casero sino que se ponga en contacto con su médico o farmaceutico.

También te puede interesar: Cómo tratar las verrugas
Índice
  1. Quitar la verruga de la espalda
  2. Remedios naturales para las verrugas de la espalda
  3. Trucos casero para eliminar la verruga
  4. Tratamiento médico para quitar las verrugas de la espalda

Quitar la verruga de la espalda

No debes cortar nunca la verruga, ni hacerla explotar, esto puede ser muy perjudicial para ti. En este artículos encontrarás multitud de métodos para eliminar definitivamente las dichosas verrugas, pero debes tener en cuenta que el método definitivo es la de quemar la verruga, cortar la verruga o usar el láser. Estos tratamientos son más fuertes pero pueden dejar cicatriz. Por este motivo el consejo más importante es que antes hables con tu médico.

Verrugas de la espalda - tratamiento y consejos - Quitar la verruga de la espalda

Remedios naturales para las verrugas de la espalda

Uno de los remedios naturales más sencillos para quitar verrugas de la espalda es poner un poco de leche de higo fresco, es necesario extraer la leche del higo y aplicarla en la verruga, después cubrir la verruga con una venda y mantener la verruga tapada durante 8 horas. Al día siguiente haz el mismo proceso y hazlo durante 8 días.

El zumo de limón es muy efectivo también para eliminar este tipo de verrugas en la piel, aplica zumo de limón directamente sobre el área afectada tanto en la mañana como en la noche.

Trucos casero para eliminar la verruga

Un método casero muy útil en algunos casos, consiste en el uso de tirita sobre la verruga, pon la tirita sobre la verruga durante al menos una semana y luego retírala. Este procedimiento debe ser utilizado más de una vez hasta que la verruga caiga por completo. Ten presente que para realizar este procedimiento debe utilizar siempre una cinta hipoalergénica.

Otra opción es realizar un ungüento casero preparado a base de bicarbonato de soda y aceite de ricino, aplica dos veces al día en la zona afectada y cúbrela con una gasa.

Tratamiento médico para quitar las verrugas de la espalda

El tratamiento médico puede ayudar no sólo a eliminar la verruga sino también pueden disminuir la probabilidad de que las verrugas se esparzan a otras áreas de su cuerpo o a otras personas. Los principios médicos que funcionan para quitar verrugas y no maltratan la piel tienen como principio activo la vitamina E.

La forma más común de quitar una verruga de la espalda es aplicando ácido salicílico, para verrugas en lugares como las manos, pies o rodillas, un método de tratamiento es ponerse ácido salicílico. Debes aplicarte ácido todos los días durante muchas semanas. Después de tomar un baño o ducha, sécate la piel ligeramente con golpecitos suaves con una toalla. Luego, ponte ácido salicílico sobre las verrugas. Al día siguiente, antes de tomar una ducha o un baño, use una lima de cartón o una piedra pómez para limar la superficie muerta de las verrugas.

Otro tratamiento médico es la cantaridina. En este tratamiento el médico pone esta substancia química encima verruga. Después del tratamiento con cantaridina se coloca un vendaje sobre la verruga. El vendaje puede quitarse después de 24 horas. Cuando se usan mezclas de cantaridina y otras substancias químicas el vendaje se quita después de dos horas. Cuando usted va a ver al médico de nuevo, éste le remueve la piel muerta de la verruga. Si la verruga no ha desaparecido después de un tratamiento, es probable que su médico le haga otro tratamiento. Aplicando nitrógeno líquido.

Su médico puede usar nitrógeno líquido para congelar la verruga. Este tratamiento se llama crioterapia. Aplicar nitrógeno líquido a la verruga causa un poco de malestar.

Este artículo es meramente informativo, en unCOMO no tenemos facultad para recetar ningún tratamiento médico ni realizar ningún tipo de diagnóstico. Te invitamos a acudir a un médico en el caso de presentar cualquier tipo de condición o malestar.

Si deseas leer más artículos parecidos a Verrugas de la espalda - tratamiento y consejos, te recomendamos que entres en nuestra categoría de Enfermedades y efectos secundarios.

Consejos

  • Cuidado porque las verrugas en la piel se pueden transmitir a otra persona cuando esa persona toca las verrugas. También es posible contraer verrugas por usar toallas u otros objetos que fueron usados por una personas que tiene verrugas.
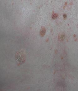
  • En este artículo hay fotos de verrugas normales si tu verruga tiene una forma rara, habla con tu médico.
Artículos relacionados
Escribir comentario
¿Qué te ha parecido el artículo?
7 comentarios
Su valoración:
Addiel
gracias por la ayuda
una pregunta porque las verrugas pican
Su valoración:
Angélica
Con todo respeto....se me hace un poco ignorante tus palabras ya que mencionas que las verrugas se contagian..eso es totalmente falso!! Y que aparecen por papiloma humano. Mi hermana desde chiquita tiene verrugas..apoco a esa edad ya tenía papiloma??, Yo Siempre le tocaba sus verrugas del cuellos y espalda, xq nunca me salieron? Antes de dar una nota hay que investigar bien.
Paola
Hola.. me salió tipo un granito en la espalda y cuando me doy cuenta se hizo verruga yo en ese momento estaba embarazada ya casi cuatro años. El tema es que crese y al lado de esa crecieron dos mas
yaritza
tengo picazon algunas veces en una veruga que me salio en el hombro derecho casi serca del cuello, esta veruga me salio hace 5 años atras cuando yo estaba en estado de gestación, me salio como una espinilla y lugo se quedo, puede ser dañina esta verruga?
jorge Diaz
que es bueno como tratamiento para quitar la picazon en la espalda por donde hay verrugas en la espalda
MOISES NAJMAN
AL HABER MUCHA PICAZON EN LA ESPALDA DONDE HAY VERUGAS, QUE SERA BUENO APLICAR PARA QUITAR LA PICAZON.
conybonita
tengo lupus discoide y tiene un mes que senti que me rosaba algo en la espalda me saco una foto mi hija y vi que tenia como puntos rojos y me dijo la dra. parecia papiloma por virus . pregunta es parte del lupus
1 de 2
Verrugas de la espalda - tratamiento y consejos