Enfermedad de las encías

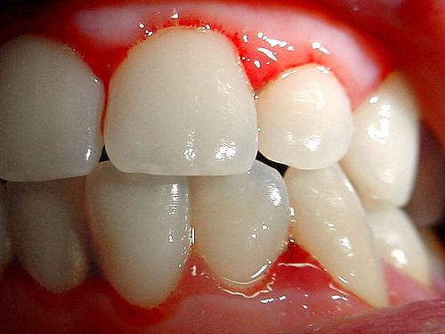
Por qué sangran las encías

Por qué sangran las encías
Imagen: deltadent.es

Las encías sangran porque están inflamadas. Existen personas que piensan que sus encías sangran porque se cepillaron bruscamente los dientes o hicieron un mal movimiento con el hilo dental, sin embargo, es poco probable que el cepillado o la limpieza dental causen sangrado. La inflamación y el sangrado de las encías es una señal de alguna enfermedad bucal o hematológica. Para saber por qué sangran las encías sigue leyendo este artículo de unComo.

También te puede interesar: Causas de las encías inflamadas

Pasos a seguir:

1

La principal causa de por qué sangran las encías es la acumulación de placa alrededor de la línea de la encía, lo que provoca la inflamación de las mismas y ocasiona el sangrado, esto se conoce como gingivitis. Si no se acude al odontólogo para una limpieza dental, la placa se acumula y se endurece hasta convertirse en sarro y empeora la condición del sangrado.

2

Cuando la placa se endurece y se convierte en sarro comienza un proceso de enfermedad periodontal o periodontitis, que empeora la constancia y el flujo del sangrado y es capaz de lastimar el hueso mandibular. Muchas personas han perdido dientes a causa de la periodontitis.

3

La leucemia es otra de las causas de que por qué sangran las encías. Cuando el organismo sufre una enfermedad o desorden hematológico importante como la leucemia o exceso de producción de plaquetas es común que la persona experimente sangrado en las encías. El control de la enfermedad hematológica será necesario para detener el sangrado.

4

El uso de anticoagulantes también puede causar encías sangrantes. Cuando se toma este tipo de medicamentos la sangre es más fluida que de costumbre, así es normal que si tenemos una inflamación o una herida notemos que hay mayor cantidad de sangre de lo habitual. Este efecto secundario se elimina al tiempo de parar los medicamentos.

5

El tabaquismo es una de las principales causas de gingivitis y periodontitis, por lo tanto también es responsable de que sangren las encías. Fumar, debido al calor que produce en la boca y los múltiples químicos del cigarro, es capaz de inflamar las encías con mucha facilidad. Dejar de fumar disminuye el riesgo de enfermedad periodontal y de cáncer bucal y de faringe.

6

La falta de higiene bucal también es una de las principales causas del sangrado de las encías, ya que favorece la producción de placa y piedras bucales. El correcto cepillado y el uso del hilo dental deben realizarse todos los días al despertarse, después de cada comida y antes de acostarse. Una persona debe acudir al odontólogo cada seis meses para una limpieza dental profunda.

7

Diabetes, pastillas anticonceptivas, dientes no alineados, llevar una mala alimentación, el embarazo y la genética son también responsables de las encías sangrantes. Si hace más de un mes que notas que tus encías sangran lo mejor es marcar una cita con tu odontólogo.

8

Si deseas saber cómo se puede tratar la inflamación de las encías, consulta nuestros artículos Cómo curar las encías inflamadas y Cómo cuidar mis encías.

Este artículo es meramente informativo, en unCOMO no tenemos facultad para recetar ningún tratamiento médico ni realizar ningún tipo de diagnóstico. Te invitamos a acudir a un médico en el caso de presentar cualquier tipo de condición o malestar.

Si deseas leer más artículos parecidos a Por qué sangran las encías, te recomendamos que entres en nuestra categoría de Salud de la Familia.

Artículos relacionados
Escribir comentario
¿Qué te ha parecido el artículo?
4 comentarios
Diana
Hola.. En mi caso, llevo 7 meses con una encia inflamada cada vez que me ponen un empaste carilla que necesito, se inflama una parte solo de la encía.. Me preguntó si puede pasar ésto por invadir con empaste alguna zona que no debiera tocarse??.. Puesto que me cepillo bien incluso con hilo dental.. Y la higiene no falta en mi caso.. Gracias
Su valoración:
Filiberto Santillan
Exelente recomendaciones para encias inflamadas , voy a realizar las pruebas .
gracias por sus consejos
Carmne Jaime
Me parecio estupenda y facil de realizar.Gracias.
Bryant
Tengo 15 años y sufro de gingivitis, me dijeron que puedo usar bicarbonato de sodio al cepillarme los dientes, ¿se puede? Me sangran horrible las encías, cada vez veo más sangre que pasta dental.
Imagen: deltadent.es
Por qué sangran las encías