Dientes y encías

Qué es el diastema dental

Marta Vicente
Por Marta Vicente, Editora Sénior. Actualizado: 16 enero 2017
Qué es el diastema dental
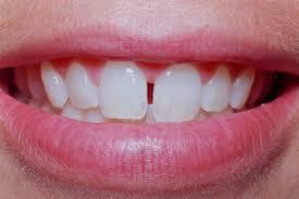
Imagen: www.ortodonciapontevedra.es

El diastema dental o la separación entre los dientes, sobre todo de los dientes frontales superiores, es una imperfección que se ha puesto de moda, siendo una de las prácticas más demandas en las clínicas de odontología en la actualidad. Sin embargo, no se trata solo de una cuestión de estética, pues los especialistas señalan que nos encontramos ante una moda arriesgada que acarrea riesgos tanto para nuestra salud bucodental como para la salud general, por lo que en lugar de provocar el diastema dental de forma artificial es aconsejable corregirlo mediante el tratamiento más adecuado. Sigue leyendo este artículo de unComo y descubre qué es el diastema dental con todo detalle, así como sus causas y consecuencias inmediatas.

También te puede interesar: Cómo corregir el diastema dental

Pasos a seguir:

1

Diastema es el nombre técnico que hace referencia a la existencia de un espacio entre dos o más dientes, lo cual sucede generalmente entre los dos dientes centrales incisivos superiores. Se trata de una condición muy común en los niños, pues constituye una parte natural del desarrollo dental y, a medida que los pequeños van perdiendo los dientes de leche y van llegando los permanentes, en la mayoría de casos, los espacios se van cerrando de forma natural y el diastema desaparece.

Qué es el diastema dental - Paso 1
Imagen: www.deltadent.es
2

Ahora bien, el diastema dental también es una condición que se da en adultos y que puede estar causada por diversos factores. Las causas más comunes son:

  • Normalmente, se produce porque existen diferencias de proporción o tamaño entre los dientes y la arcada central.
  • La falta o pérdida de piezas dentales.
  • La existencia de un frenillo labial demasiado grande. Este es el tejido que se extiende desde la parte inferior del labio hasta el tejido de la encía.
3

A pesar de que el diastema o separarse los dientes de manera artificial es una técnica que últimamente se está poniendo de moda, lo cual ya hemos podido ver en caso de modelos y algunas personalidades famosas, es importante tomar en cuenta que se trata de una condición que conlleva riesgos para la salud bucodental y que debería ser tratada y corregida adecuadamente.

Como apuntan los especialistas en odontología, los diastemas pueden ocasionar lesiones en encías, mayor riesgo de aparición de caries, ya que los restos de alimentos se alojan en los espacios interdentales con mayor facilidad, e incluso pueden darse problemas en el habla. Asimismo, la separación de los dientes también puede afectar a otros niveles, derivando en dolores de cabeza, mandíbula, oído y cuello debido a una incorrecta mordida de los alimentos.

4

Para corregir los diastemas dentales, existen distintos planes de tratamiento entre los que el odontólogo debe elegir el más adecuado para cada caso en particular. Las opciones para solucionar este problema son los tratamientos de ortodoncia, el uso de carillas de porcelana, de coronas o puentes dentales e incluso la sustitución de piezas dentales con implantes. Los pacientes que tienen el frenillo labial demasiado grande pueden necesitar someterse a una frenectomía, una pequeña intervención quirúrgica mediante la que se elimina y se recorta el tejido fibroso que se encuentra entre los dientes.

Qué es el diastema dental - Paso 4
Imagen: www.ellahoy.es

Este artículo es meramente informativo, en unCOMO no tenemos facultad para recetar ningún tratamiento médico ni realizar ningún tipo de diagnóstico. Te invitamos a acudir a un médico en el caso de presentar cualquier tipo de condición o malestar.

Si deseas leer más artículos parecidos a Qué es el diastema dental, te recomendamos que entres en nuestra categoría de Salud de la Familia.

Artículos relacionados
Escribir comentario
¿Qué te ha parecido el artículo?
Imagen: www.ortodonciapontevedra.es
Imagen: www.deltadent.es
Imagen: www.ellahoy.es
1 de 3
Qué es el diastema dental