Aneurisma
Descubre todo sobre el aneurisma: causas, síntomas y tratamientos innovadores. Aprende a identificar señales de alerta y proteger tu salud con nuestra guía experta.
1 artículo
Dificultad alta
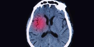
Un aneurisma es la dilatación de una arteria que termina formando una bolsa o bulto de sangre cuyo principal peligro es que el mismo se reviente, esta rotura tiene lugar por algún golpe, herida o ulceración. Cuando un aneurisma revienta se produce una hemorragia interna que puede comprometer seriamente la...