Fascitis Plantar

Cómo aliviar el dolor de un espolón

Cómo aliviar el dolor de un espolón

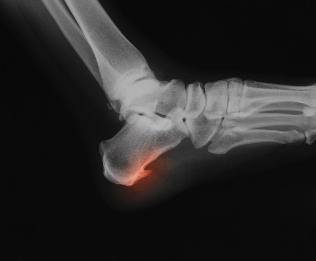
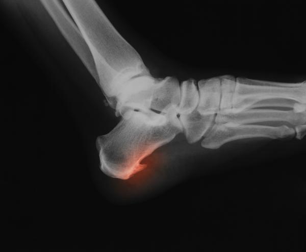
Un espolón calcáneo se produce cuando se genera una formación ósea en la zona inferior del hueso del talón, una condición dolorosa y altamente molesta que suele ser producto de una fascitis plantar no atendida. Debido a este cuadro y a las molestias que ocasiona en el paciente, la intervención de un podólogo es fundamental para garantizar una adecuada recuperación, proceso que puede ser largo.

Curar o quitar un espolón será, por tanto, trabajo de un podólogo, aunque también existen algunos remedios naturales que pueden ayudar en ello. Mientras acudes a tu especialista para una solución profesional, en este artículo de unComo te explicamos cómo aliviar el dolor de un espolón y mejorar tus desplazamientos.

También te puede interesar: Qué es un espolón

Pasos a seguir:

1

Antes de abordar las formas de aliviar el dolor de un espolón, es importante entender exactamente cómo se forma y por qué es importante acudir a un podólogo.

En nuestro día a día ejercemos una enorme presión sobre la planta del pie, por lo que es normal que si cuentas con sobrepeso o si realizas actividades de impacto con frecuencia, esta zona acabe por sobrecargarse. Esta sobrecarga puede ocasionar que tanto la almohadilla que rodea el talón como la fascia, que conecta el talón con los dedos del pie, acaben por inflamarse y causar dolor tras la realización de actividades físicas de impacto, así como al pisar tras mucho tiempo sin apoyar el pie, por ejemplo cuando despertamos.

La inflamación será la manera que tiene nuestro cuerpo para proteger la zona sobrecargada, lo que se conoce como fascitis plantar. Si esta condición no se atiende, el cuerpo acabará por generar una calcificación en la zona, es decir una pequeña formación ósea, lo que ocasionará dolor y molestias mucho más intensas e importantes, llegando incluso a afectar la capacidad de caminar distancias medias e impactando la realización de actividades cotidianas.

En el caso de que creas que se ha formado un espolón calcáneo en tu pie, lo primero que deberás hacer será visitar a un médico o especialista para que te examine y confirme el diagnóstico.

Cómo aliviar el dolor de un espolón - Paso 1
2

Una de las primeras cosas que será necesario hacer para reducir el dolor causado por los espolones será disminuir la actividad física y reposar cuanto sea posible, es decir, no forzar tus pies. Se deberán evitar especialmente aquellos deportes y actividades que causan impacto directo sobre el hueso calcáneo, como puede ser correr o hacer footing, el tenis, saltar la cuerda, el baloncesto, entre otros.

Sin embargo si quieres mantenerte activo es posible realizar actividades que no son de impacto como nadar, montar bicicleta, hacer remo o recurrir al ejercicio con máquinas.

Cómo aliviar el dolor de un espolón - Paso 2
3

Asimismo, el uso de calzado adecuado será fundamental para mejorar la inflamación de la zona del espolón y reducir así el dolor en el área del talón. Recomendamos zapatos acolchados, de suela flexible y con tacón elevado y que fije bien el pie, dejando a un lado los zapatos planos, duros o carentes de amortiguación, estos solo incrementarán tu dolor ocasionando más molestias.

Cómo aliviar el dolor de un espolón - Paso 3
4

El uso de almohadillas o plantillas también suele ayudar a mejorar esta dolencia, aunque siempre será necesario que sea un podólogo o especialista ortopédico quien determine qué conviene más a nuestros pies.

Se recomienda la realización de plantillas personalizadas que se elaboren a partir de un estudio de las necesidades de tu pie, sin duda esta es la alternativa adecuada por encima de cualquier plantilla de venta comercial.

Cómo aliviar el dolor de un espolón - Paso 4
Imagen: yoymitendinitis.blogspot.com
5

Para reducir el dolor y la inflamación del espolón, también puedes recurrir a la aplicación de hielo durante 15 minutos tres veces al día. Recuerda cubrir la bolsa de hielo con un paño o gasa antes de aplicarlo sobre la zona afectada, para que no esté en contacto directo con tu piel, o bien optar por compresas de frío que podrás reutilizar siempre que quieras.

Si tras llegar a casa o luego de una caminata sientes molestias, no dudes en aplicar la compresa fría o hielo, pues se trata del aliado perfecto para disminuir los síntomas más molestos de esta condición.

Cómo aliviar el dolor de un espolón - Paso 5
6

Por otro lado, también son apropiados los estiramientos musculares, en especial de la pantorrilla, para tratar los espolones. Te recomendamos ejercicios específicamente indicados para estos casos que podrás practicar tú mismo/a en casa, ayudándote de elementos cotidianos como pelotas de goma, toallas o apoyándote en una mesa. Para conocerlos en detalle, consulta nuestro artículo cuáles son los mejores ejercicios para tratar un espolón calcáneo.

Adicionalmente también se puede optar por algunas soluciones caseras para aliviar esta condición, en nuestro artículo cómo curar un espolón con remedios caseros te explicamos las más habituales.

Cómo aliviar el dolor de un espolón - Paso 6
Imagen: medicalremedies.files.wordpress.com
7

En ocasiones el exceso de peso es causante de los espolones, por lo que en caso de que así sea, una dieta para eliminar los kilos de más te ayudará directamente a combatir esta condición, a promover el bienestar de tus pies y articulaciones y a favorecer también tu salud general.

Lo recomendable será consultar con tu médico o nutricionista cuál es la dieta más adecuada en tu caso, de este modo garantizas una pérdida saludable de peso evitando el posible efecto rebote.

Cómo aliviar el dolor de un espolón - Paso 7
8

La toma de medicamentos para reducir la inflamación y aliviar el dolor de un espolón deberá ser administrada por un médico después de haber realizado el diagnóstico apropiado. En algunos casos los analgésicos y antiinflamatorios de venta libre, como el ibuprofeno, suelen ser los recomendados para reducir las molestias en estos casos.

Asimismo, también es posible recurrir a una infiltración en el espolón calcáneo como tratamiento, procedimiento que deberá ser dirigido por un profesional.

Cómo aliviar el dolor de un espolón - Paso 8
9

En determinados casos, cuando el resto de métodos no resulta eficaz a la hora de tratar el espolón y el dolor que produce, el podólogo o médico que nos esté tratando puede determinar la cirugía como única solución al problema. Esta es una medida que solo se aplica en aquellos pacientes que no muestran evolución frente a otros tratamientos como los ejercicios, el reposo o la aplicación de frío en la zona.

Cómo aliviar el dolor de un espolón - Paso 9

Este artículo es meramente informativo, en unCOMO no tenemos facultad para recetar ningún tratamiento médico ni realizar ningún tipo de diagnóstico. Te invitamos a acudir a un médico en el caso de presentar cualquier tipo de condición o malestar.

Si deseas leer más artículos parecidos a Cómo aliviar el dolor de un espolón, te recomendamos que entres en nuestra categoría de Salud de la Familia.

Artículos relacionados
Escribir comentario
¿Qué te ha parecido el artículo?
89 comentarios
Su valoración:
Edgar
Tengo un dolor en la pantorrilla derecha y no c que hacer para aliviarme pues siento Como si me dieron un piedrazo y luego ya no puedo caminar yo no corro o ago actividad de impacto yo nado 4 Dias a la semana Como por 25 a 30 minutos y ahora me quiere dar en el otro pie estoy angustiado pues fui con un doctor de los pies y me dijo que me acostumbrara de hora en adelante a eso tengo 59 años tambien me duelen mis talones por que tengo espolones en ambos pies que puedo hacer ?
Su valoración:
Yanira Lara
Gracis tomare en cuenta sus recomendaciones para quitar el dolor tan fuerte qu causa, en mi caso en el hueso del talon, mas no en la planta del tlon
Danika
Los dolores son terribles, yo estoy hasta con fiebre por el dolor del espolon en ambos pies.
Soledad
Yo tengo espolón en los dos talones..se pueden operar?
luis rojas
estoy padeciendo de esta enfermedad realmente yo pensaba que era el acido urico pero debido a algunas informaciones ya se lo que tengo y espero que me sirva de ayuda sus grandes consejos muchas gracias
f
Maira Moronta
Tengo un espolon, necesito saber que hacer para eliminarlo?
Lidia davis
Tengo 10 meses q n puedo caminar ningún ortopeda m da solución hago d todo los ejercicio cn botella estoy usando muletas ayudarme xfa
JANNETT GONCALVEZ HOYOS
NECESITO INFORMACION COMO CALMAR EL DOLOR DE LOS SPOLONES
Mar
Masajeando casa vez que duela, varias veces al dia y tras masaje, estirarmientos con el pie. Hay que ser constantes.
Su valoración:
Iris Flores
Es un tema interesante, Yo estoy padeciendo de este problema, y haré todo cuando me sea necesario para reducir mi malestar, un millón de Gracias por su ayuda. , Bendiciones.
Salvador gomez sanchez
Re siby un golpe con Polin en el tendón de aquiles me saque radiografía y efectivamente el golpe esta en el tendón y se me inflamación tengo un mes con esto y a hora tengo la moles tía en el espolón que hago o que me sugieren
Su valoración:
yenni
el jengibre es para tomar o para aplicarse
jose
gracias por la informacion, muy buena
miguel angel juarez
se me formo un espolon en el tobillo no el talon cual es el procedimiento para curar este tipo de espolon.
ALEIDA TUSARMA ZULETA
Hace un mes siento mucho dolor el talón, y sucede mas cuando regreso del gimnasio, que puedo hacer o tomar para quitar este dolor tan inmenso...dice que posiblemente es un ESPOLÓN... ayúdenme por favor, ya que dicen que no tiene solución si no calmar ...
Su valoración:
rosa icela
dr mi problema viendo todo su articulo siento que si es el espolon ya me mi trabajo requiero de caminar durante ocho horas y termino fatal de mi pies derecho y ya me empiezan a doler los dedos que puedo hacer porfavor
Su valoración:
CARLOS PERILLA
como evitar la cirugia remedios caseros GRASIAS....
Su valoración:
Clementina
Se operar un espolon
Su valoración:
arsenia
como quitar el dolor de un espolon dias antes de un viaje
Su valoración:
miguel leon palomino
tengo espolon estoy en tratamiento pero el dolor continua he dejado de hacer ejercicio y jugar futbol podre volver a jugar y correr maratones ho debo pensar en dejar todo tipo de actividad

Rosa Escobar
Es un dolor muy fuerte
Imagen: yoymitendinitis.blogspot.com
Imagen: medicalremedies.files.wordpress.com
1 de 10
Cómo aliviar el dolor de un espolón