Fascitis Plantar

Cuáles son los mejores ejercicios para tratar un espolón calcáneo

Cuáles son los mejores ejercicios para tratar un espolón calcáneo

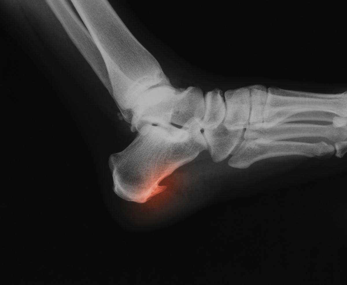
Un espolón calcáneo es una formación ósea que tiene lugar sobre el hueso calcáneo, es decir, el hueso del talón. Esta protuberancia causa molestias en quienes lo padecen, especialmente al caminar y realizar otras actividades cotidianas.

A la hora de aliviar el dolor de un espolón, los ejercicios de estiramiento resultan muy útiles y ayudan a acelerar su curación, así como también existen otros remedios caseros para curar un espolón que te detallaremos más adelante. En este artículo de unCOMO, os explicamos cuáles son los mejores ejercicios para tratar un espolón calcáneo para que podáis aliviar fácilmente los síntomas de esta afección desde casa.

También te puede interesar: Cuáles son las causas del dolor de talón
Índice
  1. Ejercicio de la toalla
  2. Estiramientos de gemelos
  3. Ejercicio sentado para el espolón
  4. Ejercicios con pelota
  5. La operación del espolón calcáneo
  6. Trucos para aliviar el dolor de un espolón

Ejercicio de la toalla

Uno de los ejercicios que te resultarán muy útiles a la hora de tratar un espolón calcáneo consiste en: colocar una toalla en el suelo y tratar de acercarla hacia ti con los dedos del pie. Puedes colocar algún elemento pesado encima para que ejerza resistencia.

Cuáles son los mejores ejercicios para tratar un espolón calcáneo - Ejercicio de la toalla
Imagen: medicalremedies.files.wordpress.com

Estiramientos de gemelos

Puedes también realizar estiramientos apoyándote con las manos sobre una mesa, flexionando una rodilla y estirando la otra. Deberás inclinarte hacia adelante, como si quisieras mover la mesa, para estirar los músculos de la pantorrilla de la pierna estirada. Mantén la posición durante unos 10-15 segundos.

Cuáles son los mejores ejercicios para tratar un espolón calcáneo - Estiramientos de gemelos
Imagen: medicalremedies.files.wordpress.com

Ejercicio sentado para el espolón

Otro de los ejercicios para aliviar el dolor del espolón consistirá en mover el pie adolorido lentamente arriba y abajo sobre la espinilla de la otra pierna. Se debe tratar de rodearla con los dedos. El objetivo de todos estos ejercicios será relajar los músculos que colindan con el espolón, pero para que resulten efectivos debes ser constante y realizarlos cada día.

Cuáles son los mejores ejercicios para tratar un espolón calcáneo - Ejercicio sentado para el espolón
Imagen: medicalremedies.files.wordpress.com

Ejercicios con pelota

Hacer rodar una pequeña pelota con la planta del pie también será beneficioso para el tratamiento de los espolones calcáneos, así como de la fascitis plantar. Se trata de realizar movimientos con el pie sobre la pelota, consiguiendo una especie de masaje con el que relajaremos la planta del pie.

Es importante conseguir un movimiento completo, logrando presionar la pelota desde la punta de los pies hasta el talón.

Cuáles son los mejores ejercicios para tratar un espolón calcáneo - Ejercicios con pelota

La operación del espolón calcáneo

Los estiramientos ayudarán a aliviar el dolor de un espolón, aunque no son la única forma para mejorar la situación y, de hecho, en algunas ocasiones incluso se requiere de cirugía para eliminar el espolón por completo.

De este modo, deberás visitar a tu podólogo o médico especialista para que examine tu caso y pueda realizar el diagnóstico apropiado. Sin embargo, en unComo también te explicamos otras formas sobre cómo curar un espolón con remedios caseros para que trates de reducir el dolor.

Cuáles son los mejores ejercicios para tratar un espolón calcáneo - La operación del espolón calcáneo

Trucos para aliviar el dolor de un espolón

Además de los ejercicios para el espolón calcáneo hay una serie de recomendaciones que puedes llevar a cabo en tu día a día para aliviar el dolor de esta afección. A continuación te dejamos algunos consejos:

  • Disminuye la actividad física lo máximo posible, intentando reposar todo lo necesario para aliviar los síntomas. Hay que prestar especial atención con aquellas actividades que impactan directamente sobre el hueso, como andar o correr, por el contrario debes practicar actividades que no causen impacto, como nadar o hacer remo.
  • Algo fundamental para rebajar la inflamación del talón y reducir el dolor es utilizar un calzado adecuado a tu condición: acolchado, con suela flexible y un tacón alzado que se fije correctamente al pie.
  • Utilizar plantillas o almohadillas que amortigüen los golpes puede ser otra buena opción.
  • Aplícate hielo o compresas frías 3 veces al día durante 15 minutos.
  • Una de las principales causas de la aparición de los espolones es un exceso de peso, si ese es tu caso es recomendable que inicies una dieta para bajar unos quilos. No solo te servirá para reducir los síntomas sino que también mejorará tu estado general de salud.

Este artículo es meramente informativo, en unCOMO no tenemos facultad para recetar ningún tratamiento médico ni realizar ningún tipo de diagnóstico. Te invitamos a acudir a un médico en el caso de presentar cualquier tipo de condición o malestar.

Si deseas leer más artículos parecidos a Cuáles son los mejores ejercicios para tratar un espolón calcáneo, te recomendamos que entres en nuestra categoría de Salud de la Familia.

Artículos relacionados
Escribir comentario
¿Qué te ha parecido el artículo?
75 comentarios
Su valoración:
Marina Sandoval
Todos los ejercicios muy buenos y practicos. gracias
Mauricio Contreras flores
Yo tengo espolón y ,6, meses con dolor me he tomado medicina y nada estoy desesperado. Mucha molestias yo hago trabajo Generales limpieza todo el día.parado
Mari
Hola yo tengo los pies cavos y a consecuecia de ello se me forman espolones en los dos empeines.Uno me operaron quitandome una calificación de 2×2.Ahora se me esta reproduciendo.Quisiera saber si puedo hacer algun ejercicio que me ayude con las molestias que provocan ya que las operaciones noson aconsejables.Gracias
Jesus castillo
buenos comentarios., yo padesco de Fascitis plantar
jessy andino
me duele mucho el carcañal del pie derecho (la pelotita)
FREDDY ILARIO
uso plantilla con silicona apesar de eso me duele
lety sigala
me operaron de espolones de los dos pies, aun me duele, la recuperacion es lenta, quiero saber que ejercicios puedo hacer como los que se hacen yendo a fisiatria
Su valoración:
NORMA GARCIA
Tengo un espolon en el pe izquierdo. Fui al traumatologo y me dijo que asi como me salio se va a ir.Usted que me aconseja.
Elia Tabuenca (Editor/a de unCOMO)
Hola Norma, en este otro artículo te contamos qué es un espolón: http://salud.uncomo.com/articulo/como-quitar-un-espolon-18941.html Saludos
Su valoración:
juan hernández baraja
me gustaría saber en que consiste la operación de espolón calcáneo. Gracias.
Su valoración:
Yuri Camila Durán
Hola soy una chica joven que está sufriendo de un espolón nada me calma el dolor que puedo hacer
alondra
ir donde el ortopedista para que te inyecte el talon
Su valoración:
CLARA INES
mucho dolor pie derecho
Su valoración:
leonardo javier cabrera
ejercicios para espolon calcaneo
Su valoración:
chencho
ejercios para amortiguar el dolor espolón
Su valoración:
sandy
Buenas tardes, me caï luego de unos dïas me apareció un huevo en la parte superior del pie separando mi dedo pulgar de los demás del pie cuando estoy de pies al igual en la planta del pie tengo las misma especie de huevo es muy duro y doloroso que me pide estar de pie ningún medico me ayuda por favor que es y que debo hacer. Gracias
Kary
Es el hueso sesamoideo. Es natural, fomentos de agua caliente con sal. Desaparece solo y descanso. A mi me paso por caer mal. Analgesico y agua caliente con sal me recomendo el ortopedista.
paula
te lo curo en 10 dias sin tocarte
JOSE ANTONIO LORCA FERNANDEZ
espolon en el pie izquierdo, estoy rabiando de dolor. Que puedo hacer?
Juanjo
Como puedes curarmelo?
roberto molina
b tarde q recomienda para correr porque duele el espolon calcaneo
Jeny
quien me dice que se haya curado de espolon porfa yo no aguanto el dolor..
alondra
no se cura,solo se calman las recaidas con tratamiento,solo la cirugia las cura
JORGE Eduardo ESQUIVEL
Yo hace mas de 8meses q ciento el dolor pero a ido aumentando el dolor y ahora no doy más me hicieron una placa y es un epuelon pero no doy mas encima presente el certificado en el trabajo y me hecharon me largaron sin nada ahora tengo q hacerme ver wn el hospital pero recién a mitad de marzo q puedo. Hacer para el dolor Hasta q me vea el médico
Juan Manuel Ramos Zegarra
Ya tengo el dolor al talón hace meses, aparte hasta ahora no logró sacar una cita en el seguro haces meses, que puedo hacer en casa para eliminar el espolón, pero algo efectivo, ya que estoy de vacaciones y tengo reposo para hacerlo.
Xavier Sánchez
Hola amigos espero que me ayuden con esto Ok gracias
Miguel Ángel Enríquez
Trotaba tres veces a la semana y me comenzo a doler el talon ya no troto tres semanas y todabia no me pasa el dolor.
Imagen: medicalremedies.files.wordpress.com
Imagen: medicalremedies.files.wordpress.com
Imagen: medicalremedies.files.wordpress.com
1 de 6
Cuáles son los mejores ejercicios para tratar un espolón calcáneo