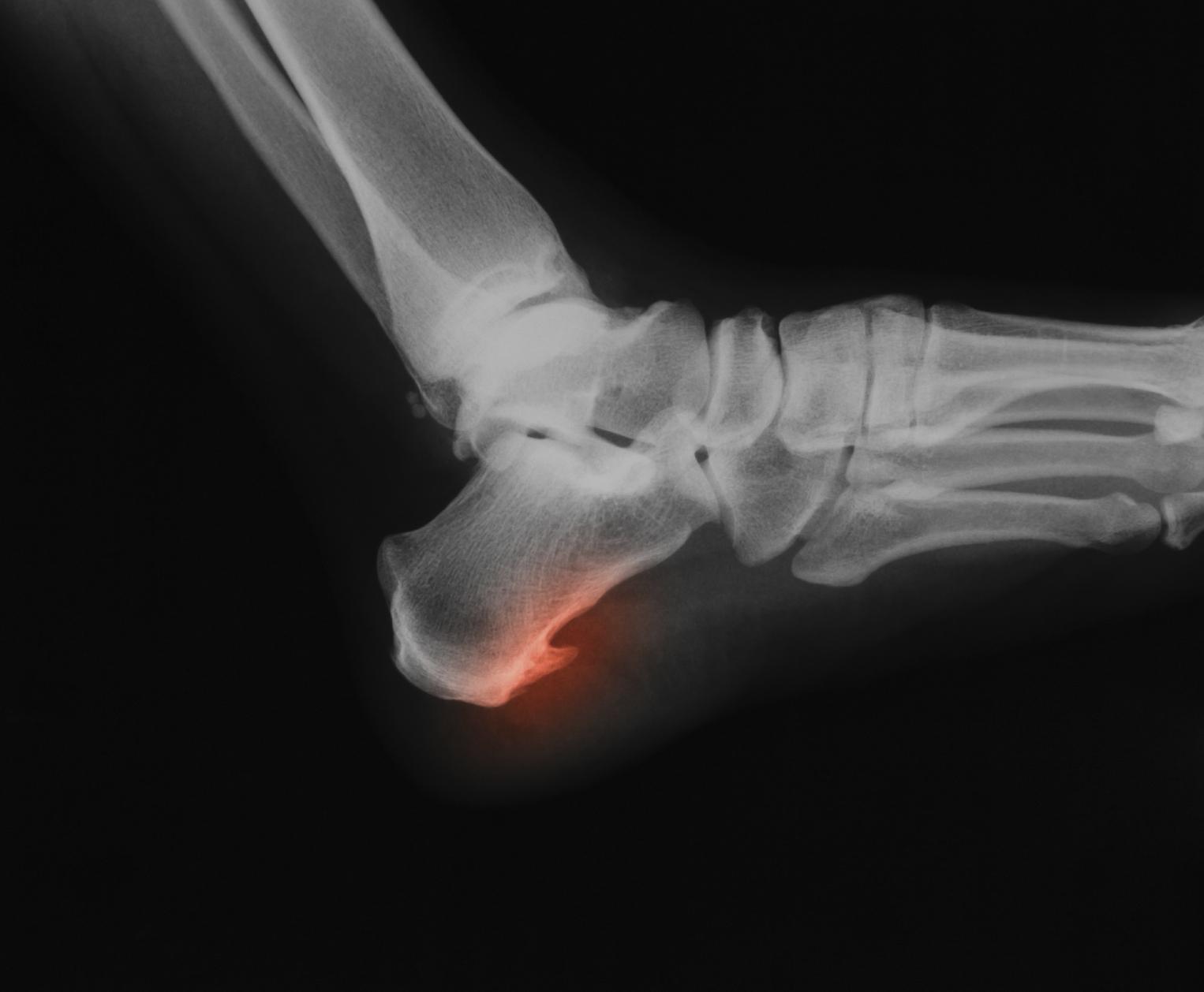
Fascitis Plantar

Cómo curar un espolón con remedios caseros

Cómo curar un espolón con remedios caseros

Algunos remedios caseros como el vinagre de manzana, el jengibre, el hielo o los aceites esenciales pueden ayudarnos a aliviar y curar un espolón calcáneo de forma natural y sin tener que recurrir a la cirugía, aunque esto dependerá de la gravedad del caso y de las indicaciones médicas. Un espolón es una calcificación en el talón que suele ocasionar dolor intenso a quienes lo padecen. Aunque realmente es necesario visitar un médico para tratar el espolón y llegar a eliminarlo, para reducir el dolor y facilitar la cura de este problema puedes usar remedios. En este artículo de unCOMO te explicamos cómo curar un espolón con remedios caseros.

Índice
  1. Causas de los espolones calcáneos en los talones
  2. Factores de riesgo del espolón calcáneo
  3. Plantillas y férulas para curar el espolón calcáneo sin cirugía
  4. Reduce la actividad y reposa
  5. Aplica frío en el talón para aliviar el espolón
  6. Vinagre de manzana
  7. Cataplasma de jengibre para tratar un espolón en el pie
  8. Masajes con aceites esenciales para aliviar el espolón calcáneo
  9. Ejercicios para curar el espolón calcáneo
  10. Calzado apropiado
  11. Cuándo acudir al médico por un espolón en el pie
Ver más >>

Causas de los espolones calcáneos en los talones

Conocer las causas de los espolones en los talones te ayudará a prevenir malos hábitos que dañan tu salud corporal y favorecen la aparición de este problema óseo. Estas son las principales causas de un espolón en el pie:

  • El sobrepeso es una de las primeras causas de este problema en el hueso calcáneo. Cuando las personas padecen sobrepeso, sobrecargan la presión en la zona de los talones y, por tanto, puede ser una de las causas de que aparezcan espolones. Una zona del cuerpo tan pequeña como el talón tiene que soportar un exceso de peso y, por tanto, es más susceptible a padecer condiciones como esta.
  • No pisar bien al andar es otra de las razones más comunes de esta afección en el pie. Hay personas que caminan de costado o que no apoyan todo el pie cuando caminan y, por tanto, la presión y el peso del cuerpo se centra en una zona concreta de la planta en lugar de repartirse de forma homogénea. Por tanto, es importante llevar un calzado adecuado o el uso de unas plantillas que corrijan esta mala praxis a la hora de caminar.
  • Tener pie cavo o pie plano.
  • Pasar mucho tiempo de pie o caminar en exceso.
  • Hacer deporte de alta intensidad.
  • Utilizar un calzado inadecuado, lo cual conlleva pisar mal.
Cómo curar un espolón con remedios caseros - Causas de los espolones calcáneos en los talones

Factores de riesgo del espolón calcáneo

Es importante tener en cuenta que el espolón calcáneo es más común en determinados tipos de pacientes, por lo que ciertos grupos deben cuidarse al máximo para evitar su formación debido a la práctica deportiva. Por ello, será necesario que antes de realizar actividad física visites a un podólogo para recibir indicaciones si sufres de algunos de los factores de riesgo del espolón en el pie:

  • Pie cavo.
  • Ser supinador o pronador.
  • Tener sobrepeso.
  • Tener alguna lesión en el talón de Aquiles o los músculos de la pantorrilla.

Además, no olvides realizar un adecuado calentamiento antes de cualquier práctica deportiva, esto te ayudará a evitar lesiones, incluido el espolón.

A continuación, te explicamos cómo curar un espolón con remedios caseros, usando productos específicos para ello, como las férulas, y plantas y otros productos naturales que son fáciles de conseguir.

Plantillas y férulas para curar el espolón calcáneo sin cirugía

Uno de los tratamientos más comunes de los espolones es el uso de plantillas ortopédicas, que te ayudarán a disminuir el dolor y corregir la calcificación ósea. Este tipo específico de plantillas para espolón cuentan con una zona más blanda en el área del calcáneo para amortiguar la pisada y reducir el dolor en el talón.

Esta es la forma más sencilla de poder reducir el dolor de un espolón, ya que amortiguas la presión cuando caminas y, por tanto, consigues redistribuir mejor el impacto evitando que todo él recaiga sobre la zona afectada. Con las plantillas conseguimos descargar la zona y, por tanto, sentir más alivio de forma inmediata, además de permitirnos caminar sin inconvenientes.

Otra buena opción para tratar los espolones son las férulas nocturnas, con las que mantendremos extendido el pie y especialmente el conjunto de la fascia plantar. No es un tratamiento recomendado al inicio de los problemas en el hueso calcáneo, sino que siempre deberá estar supervisado por un fisioterapeuta o médico especialista. De este modo, podremos curar une problema en el pie, durante las horas de sueño sin apenas darnos cuenta.

Cómo curar un espolón con remedios caseros - Plantillas y férulas para curar el espolón calcáneo sin cirugía

Reduce la actividad y reposa

Asimismo, será muy importante que reduzcas las actividades que suponen un sobreesfuerzo del pie y conllevan a una presión en el talón y, por lo tanto, en el espolón. De esta forma, se recomienda evitar la realización que causen mucho impacto en el hueso calcáneo o actividad física como puede ser correr.

Tienes que tener en cuenta que, cuanto menos uses esta zona del cuerpo, más rápido se te curará el espolón y, por tanto, antes recuperarás tu salud y bienestar. Por este motivo, es recomendable que reduzcas la actividad física y, en el caso de que trabajes de pie o realices ejercicio físico durante tu jornada laboral, intenta que el peso de tu cuerpo se distribuya en los dos pies para evitar sobrecargar uno de ellos. Así, es recomendable que bajes el ritmo de tu día a día y que reposes al máximo.

Cómo curar un espolón con remedios caseros - Reduce la actividad y reposa

Aplica frío en el talón para aliviar el espolón

Cuando el espolón cursa con inflamación y dolor, colocar un poco de hielo en la zona del espolón en el pie es una buena forma de conseguir alivio y reducir la hinchazón.

  1. Envuelve un cubito de hielo en un paño y aplícalo sobre el espolón.
  2. Deja que actúe durante unos 10 o 15 minutos.
  3. También puedes colocar una compresa helada directamente después de hacer actividades físicas o caminar mucho. Estas compresas están creadas especialmente con esta finalidad y podrás guardarlas en el frigorífico después de su uso.

Vinagre de manzana

Otro de los mejores remedios caseros para curar el espolón calcáneo es el vinagre de manzana. Este producto atrae el calcio, es antiinflamatorio y disminuye los dolores. Para utilizarlo, haz lo siguiente:

  1. Vierte un poco de vinagre de manzana en una gasa.
  2. Frota la zona afectada con la gasa durante unos segundos.
  3. Si lo prefieres, también puedes agregar un chorro de vinagre de manzana a un recipiente con agua tibia y sumergir los pies en la mezcla durante unos cuantos minutos.

Cataplasma de jengibre para tratar un espolón en el pie

Como tratamiento natural para el espolón también destaca el jengibre. La razón es que esta raíz tiene propiedades antiinflamatorias y disminuye las molestias en el pie, gracias a que contiene gingeroles, porque ayudará a tratar la posible fascitis derivada del espolón y a desinflamar la zona de alrededor de este. Para preparar una cataplasma de jengibre para aliviar el espolón calcáneo sigue estas indicaciones:

  1. Prepara una infusión de jengibre hirviendo 1 trozo de raíz en 1 vaso de agua.
  2. Cuela la preparación.
  3. Cuando se enfríe un poco, empapa una gasa en el té de jengibre y colócala sobre el talón afectado.
  4. Deja actuar durante unos 15 minutos.
Cómo curar un espolón con remedios caseros - Cataplasma de jengibre para tratar un espolón en el pie

Masajes con aceites esenciales para aliviar el espolón calcáneo

Continuando con el objetivo de curar un espolón con remedios caseros, debemos hablar de los aceites esenciales antiinflamatorios, analgésicos y relajantes. Son excelentes para masajear el talón dolorido y obtener un alivio mucho más inmediato.

  1. Los mejores aceites para aliviar los espolones son el de árnica, clavo de olor, manzanilla o romero.
  2. Elige uno de estos aceites y mézclalo con algún aceite vegetal, como el de oliva o el de almendras.
  3. Masajea la zona afectada por el espolón aplicando el aceite hasta que veas que se ha absorbido por completo.

Ejercicios para curar el espolón calcáneo

Realizar estiramientos también te ayudará en el tratamiento del espolón en el pie para, de este modo, reducir y tratar de eliminar el dolor. Existen ejercicios específicamente indicados para estos casos que podrás practicar tú mismo/a en casa, ayudándote de elementos cotidianos como pelotas de goma, toallas o apoyándote en una mesa, aunque existen pelotas específicas para este tipo de dolencias y ejercicios. A continuación, te descubrimos algunos de los mejores ejercicios para lidiar contra esta condición:

  • Ejercicios con pelota: en cualquier tienda deportiva o en un podólogo, podrás encontrar una pelota de ejercicios especialmente pensadas para curar un espolón. Con estas pelotas podrás relajar los músculos además de conseguir una mejora circulatoria de la sangre. Para hacer el ejercicio tan solo deberás colocarla bajo tu pie y hacerla rodar desde la zona del talón hasta los dedos, sobre todo, céntrate en las zonas donde más dolor sufras para que la bola te haga un suave masaje que te ayudará a relajar la zona.
  • Haz estiramientos en la zona del talón: para curar un espolón con remedios caseros también se recomienda que hagas estiramientos para relajar la zona al máximo. Para ello, puedes estirar las piernas y elevar los dedos, tirándolos hacia ti; de esta forma notarás cómo la planta se estira al máximo y cómo empiezas a sentir menos tensión. Para conocerlos en detalle, consulta nuestro artículo Cuáles son los mejores ejercicios para tratar un espolón calcáneo.

Además, también te recomendamos que te realices masajes en la zona a tratar para conseguir mejorar la condición y sentir alivio inmediato.

Cómo curar un espolón con remedios caseros - Ejercicios para curar el espolón calcáneo

Calzado apropiado

Es vital que utilices un calzado adecuado a tu tipo de pie y forma de pisar, por ejemplo, si eres pronador necesitarás un tipo de zapatos distinto al que necesita alguien con pies planos o bien un supinador.

Por ejemplo, en el caso de la pronación, un aplanamiento del arco del pie más allá de donde se "supone" que tiene que ir, es la causa más común del espolón en el talón. No se debe confundir con "pies planos". Los zapatos que llevas causan la pronación. Quítate los zapatos y dóblalos. No deben doblarse en el arco o el talón, sino sólo en la punta del pie. Si tus zapatos se doblan detrás de la bola de tu pie, cámbialos. Asegúrate de obtener calzado con buen soporte de arco y de apoyo en general. Consulta a tu podólogo para que te oriente cuál es el mejor calzado para ti.

Cuándo acudir al médico por un espolón en el pie

Aunque, hayamos comentado las posibles causas de esta afección en el pie y qué grupos de personas son las más propensas por varios factores de riesgo, en unCOMO te recomendamos que si empiezas a padecer dolores en esta zona del cuerpo acudas a un especialista para que te haga un examen y pueda determinar qué es lo que te está produciendo dicho dolor.

Así, tan pronto como sientas alguno de los síntomas de un espolón en el pie, lo primero que deberás hacer será visitar a un médico o especialista para que te examine, confirme el diagnóstico y te recomiende el mejor tratamiento sobre cómo quitar un espolón. No esperes a que el dolor sea tan intenso que no te permita realizar actividades cotidianas, sino que deberás solicitar cita médica a las primeras molestias. Además, una vez empezado el tratamiento adecuado también deberás ir a las revisiones pertinentes y en caso de que veas cambios o empeores.

Cómo curar un espolón con remedios caseros - Cuándo acudir al médico por un espolón en el pie

Este artículo es meramente informativo, en unCOMO no tenemos facultad para recetar ningún tratamiento médico ni realizar ningún tipo de diagnóstico. Te invitamos a acudir a un médico en el caso de presentar cualquier tipo de condición o malestar.

Si deseas leer más artículos parecidos a Cómo curar un espolón con remedios caseros, te recomendamos que entres en nuestra categoría de Salud de la Familia.

Artículos relacionados
Escribir comentario
¿Qué te ha parecido el artículo?
354 comentarios
Su valoración:
LIGIA MARITZA MORENO
como aliviar el dolor de los espolon y dolor de rodillas con atrosis
Su valoración:
isidro Rivero
me tiene loco el dolor
Sergio Hernandez Navarro
envíeme por favor remedios para curar los espolones y remedios para curar la ciatica
Carmen
muy interesante y mas información que el medico . Porque llevo un mes que no puedo apenas andar y no me dan ninguna ,ahora me han hecho la radiografía y me han confirmado que es un espolón
ruben flores c.
Me ayuda a clarificar mis dudas sobre el espolón acudiré a mi medico de cabecera pero les agradesco infinitamente
margarita perez
cuanto estoy tiempo parar o camino muchos me duelen espolón necesito remedio casero
alfredo hernandez
estaba muy mal y probe jn remedio que me dieron es piedra de alumbre vinagre sea blanco o de manzana y sema para animal la sema lo puedes conseguir en lugar donde vende alimento para animales hierve agua como tres litros agrega la piedra de alumbre e se disuelva después agrega 1/4 de vinagre y al final agrega un puño grande de sema el agua esta a temperatura muy caliente hay que sumergir el talon lo mas que el pie consienta lo caliente meter y sacar meter y sacar hasta que el agua este tibia háganlo mejoraran a mi me sirvió ala primera se los juro
Oscar
Buenas tardes Alfredo, que lesion tenias? Fascitis plantar? Dolor en el talon?
Su valoración:
veronica barba
Gracias muy buen artículo, hace un mes que comencé a padecer de espolón, en ambos pies, me hice radiografía y allí están. Fui al Médico Ortopeda y me recomendó analgésicos y para curarlo bajar de peso, ya estoy a dieta. Las terapias y ejercicios me ayudan pero definitivo hay que bajar todo el peso de mas. Saludos que se mejoren.
Karla de ls Cruz
Tengo un gran dolor en el talón por debajo y ya no pude ir a trabajar mas por el dolor aveces me duele mas o menos que puedo hacer?
Roberto Montero Poltronieri
Muchas Gracias porqué he encontrado recomendaciones para el espolón, tengo un dolor severo y me cuesta llevar mi vida normal desde hace 2 semanas. Voy a empezar por ´preguntarles qué tipo de especialista medico debo acudir. ?
Tamara
Para el problema de el talon,espoleones, plantar fascitis debe ver un Podiatra.
Milagros
Hice todos esos remedios caceros y ninguno me calma este dolor de talon.
Veronica
HOLA, YO NO DOY MÁS D DOLOR. NO PROBÉ NADA TODAVÍA, PERO CREO Q EN MI CASO SI NO BAJO D PESO, NO ME VA A SERVIR NADA.
Su valoración:
nerys
como curar mi espolon
Su valoración:
MARTHA BARRETO CAÑETE
YO TENGO ESPOLONES USO PLANTILLAS ADEMAS DE TOMAR LAS PASTILLAS DE CARTILAGO DE TUBURON QUE ME AYUDAN A DISMINUIR MI DOLOR ME EMPIEZA A DOLER CUANDO SUBO DE PESO Y CUANDO DESPUES DE UN RATO SIN CAMINAR SIENTO QUE SE ENFRIA Y NO PUEDO NI APOYAR EL PIE GRACIAS VOY AÑADIR LOS EJERCICIOS SUJERIDOS MUCHAS GRACIAS
Su valoración:
María castellano
Muy buen artículo
Su valoración:
Luz Miryam Sastoque Mendez
Muy buen artículo. Una inquietud, me formularon espolón calcando, por qué me duele solamente el ante pie, es dolor continuo.
María Graciela Miguel Medina
Muy interesantes el tema del espolon, pero quisiera saber si con las terapias y los remedios caseros persiste el dolor que se debe hacer.
ramnella garcia
BUENAS MI MAMA TIENE SUPUESTAMENTE UN NERVIO ASIATICO EN UN PIES PERO POR Q CAUSA TANTA MOLESTIA Y DOLOR Q ME RECOMIENDAN YO CREO Q ES UN ESPOLON
alfredo hdz
justo ahora probe un remedio que me funciono como no hay idea
Pe
Tengo mu chodolor me dicen que tengo Espolón como lo curo trabajar bajo 7 horas caminando y comiendo mucho peso como lo curo
MARIA RAMIREZ ROMERO
Visita a un podólogo es lo mejor !
Javier Padilla velez
Me duele mucho mi talón que puedo hacer
Su valoración:
Juan Manuel Limón Cuevas
Su información está muy completa e interesante, por lo que trataré de llevar a cabo algunos de los consejos que acabo de leer y claro acudiré con un especialista para una revisión, no sin antes aplicar algunos de sus recomendaciones. Gracias
Saida2257@hotmail.com
Q ago para q se me quiten los espolones de los talones eso duele muchísimo
MARIA RAMIREZ ROMERO
Saida hola! yo tengo uno en el pie derecho y me dicen que no se opera el espolón en la seguridad social de mi pueblo. Hace unos años si se operaba pero como cada vez te hacen menos.Bueno yo de momento estoy con una podóloga, y estoy ahora con unas plantillas que me han hecho y lo llevo un poco mejor. lo triste es que te tienes que gastar el dinero por que si no no hay nada que hacer.
etilcia tovar
lo mas recomendable en estos casos es la inyección de betagen solter a mi me lo curo en 5 días,espero les funcione como a mi, pero les aseguro que si ¡¡¡
1 de 7
Cómo curar un espolón con remedios caseros